پخش زنده
امروز: -
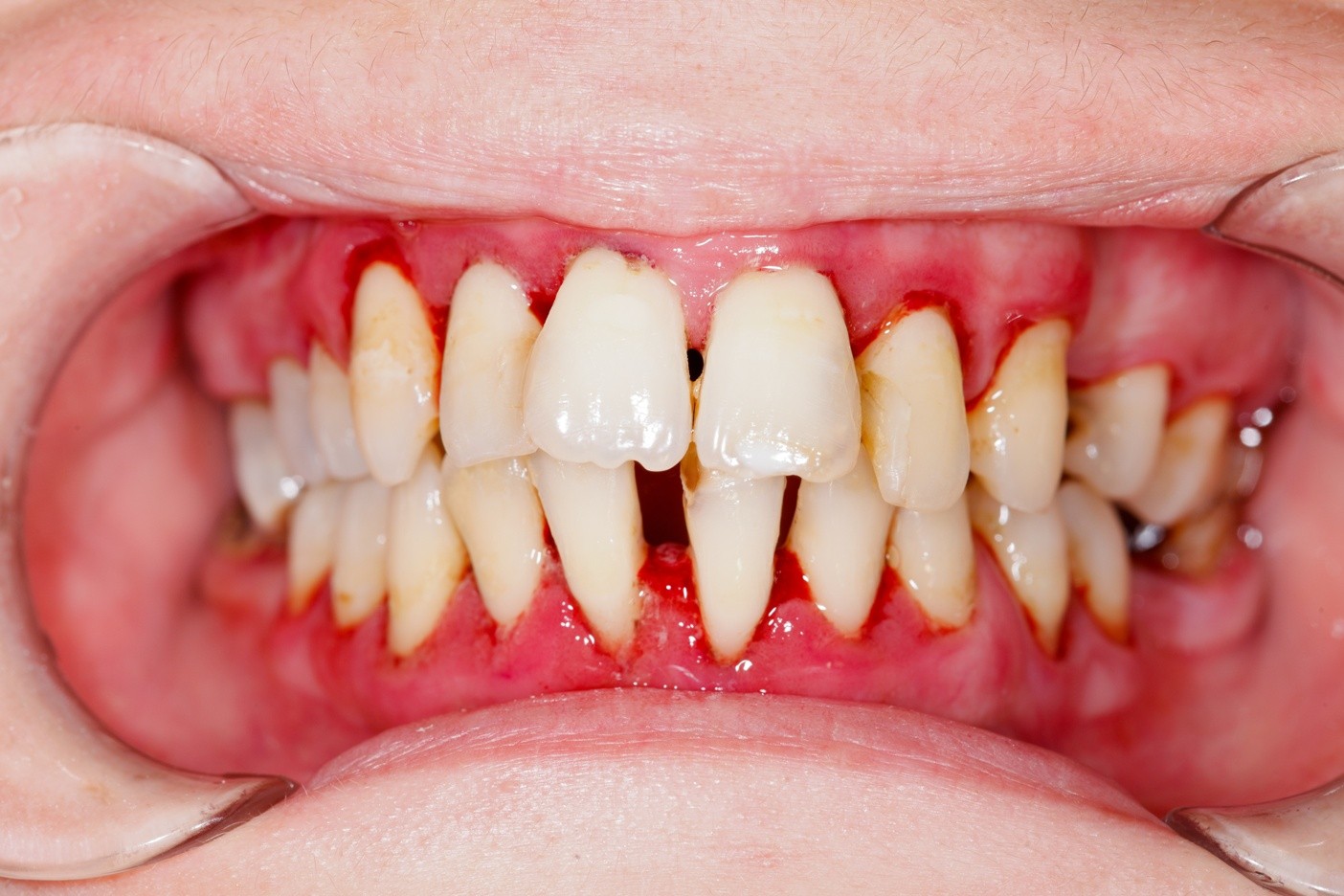
نتایج یک مطالعه که به تازگی انجام شده است نشان میدهد بیماری لثهها (پریودندیت) با التهاب، عفونت، عوارض و مرگ و میر ناشی از کووید-۱۹ ارتباط دارد.
به گزارش گروه وبگردی خبرگزاری صدا و سيما، یکی از نگران کنندهترین مواردی که در مورد کووید-۱۹ وجود دارد، طیف گستردهای از عوارض آن در افراد مبتلا به این بیماری است.

این مطالعه نشان میدهد افراد مبتلا به پریودنتیت (بیماری لثه) ۸.۸ برابر بیشتر احتمال دارد که در اثر ابتلا به کووید-۱۹ جان خود را از دست دهند.
چنین افرادی ۳.۵ برابر بیشتر احتمال دارد به دلیل ابتلا به کرونا در بیمارستان بستری شوند و احتمال نیاز آنها به دستگاه کمک تنفسی هم ۴.۵ برابر بیشتر است.
پروفسور «بلیندا نیکولا» از دانشکده دندانپزشکی «مک گیل» که در نوشتن این مطالعه همکاری داشت میگوید: با بررسی نتیجه گیریهای این مطالعه، میتوانیم اهمیت بهداشت دهان و دندان را در پیشگیری و مدیریت عوارض ناشی از کووید-۱۹ برجسته کنیم.
پریودنتیت اصطلاح بالینی عفونت جدی ناشی از تجمع باکتریها بین دندانها و لثهها است. این بیماری درصورتی که درمان نشود، میتواند باعث آبسه دردناک و حرکت دندان شود، به دندان آسیب برساند و استخوان فک زیرین را بخورد.
رعایت بهداشت دهان و دندان از جمله نخ دندان کشیدن روزانه، مسواک زدن و رعایت برنامه معاینات منظم دندانپزشکی، از پریودنتیت جلوگیری میکند.
به گفته محققان، پریودنتیت همچنین به عنوان یک عامل خطرساز برای تعدادی از بیماریهای دهان و سیستمیک شناخته شده است. بیماریهای سیستمیک (Systemic disease) بیماریهایی هستند که به طور هم زمان چند اندام و بافتهای گوناگون بدن یا همه بدن را هدف قرار میدهند.
محققان همچنین ارتباطی بین این بیماری و بیماریهای قلبی، دیابت و بیماریهای تنفسی پیدا کرده اند. ارتباطاتی نیز میان بیماری لثه و افزایش خطر عوارض بارداری مانند پره اکلامپسی و نرخ پایین تولد جنین وجود دارد.
محققان میگویند: پریودنتیت باعث التهاب لثه میشود و در صورت درمان نشدن، التهاب میتواند به بدن منتقل شود.
محققان گزارش کردند که پریودنتیت شایعترین بیماری دندان در کانادا است؛ بطوری که از هر ۱۰ نفر، هفت نفر را در دورهای از زندگی خود مبتلا میکند. بیماری لثه یک بیماری همه گیر نامریی است.